Ночью не можете заснуть, утром проснуться, подъём по лестнице вызывает одышку, начали беспокоить мигрени, есть проблемы в постели — это старость, дружище! Страшно?
Всем страшно, когда есть симптомы, которые явно говорят о появлении возрастных недугов. При этом симптомы могут появиться как в 30, так и в 45 лет. Существует теория, которая доказывает, что при отсутствии внутренней программы контроля здоровья, организм стремиться к саморазрушению. Если эта ситуация вас не устраивает, то самое лучшее — начать новую жизнь с понедельника, 1 марта или прямо сейчас.
Как начать новую жизнь во благо своего организма, доказывая ему, что ему предстоит функционировать ещё несколько десятком лет и держаться молодцом.
Проведите техосмотр всего организма
Медицина сейчас шагнула настолько далеко, что большинство процедур безболезненны и точны. Появилось современное понятие диагностического комплекса — чек-ап. Модный сегодня термин «Check-up» (с англ. — скрининг) пока еще знаком не всем. Данная диагностика, подразумевающая комплексное обследование, актуальна для вполне здоровых людей, которым не наплевать на собственное здоровье. Медицинские центры Йошкар-Олы предлагают несколько комплексных программ контроля здоровья. Чаще всего, они сформированы для контроля состояния разных групп органов: гинекология, урология, кардиология, эндокринология и т.д. Скриниг помогает получить определенную картину по каждому из органов и если понадобиться, то назначить своевременное лечение В среднем цена скрининга от 1500 до 5000 рублей, в зависимости от количества обследований в составе.
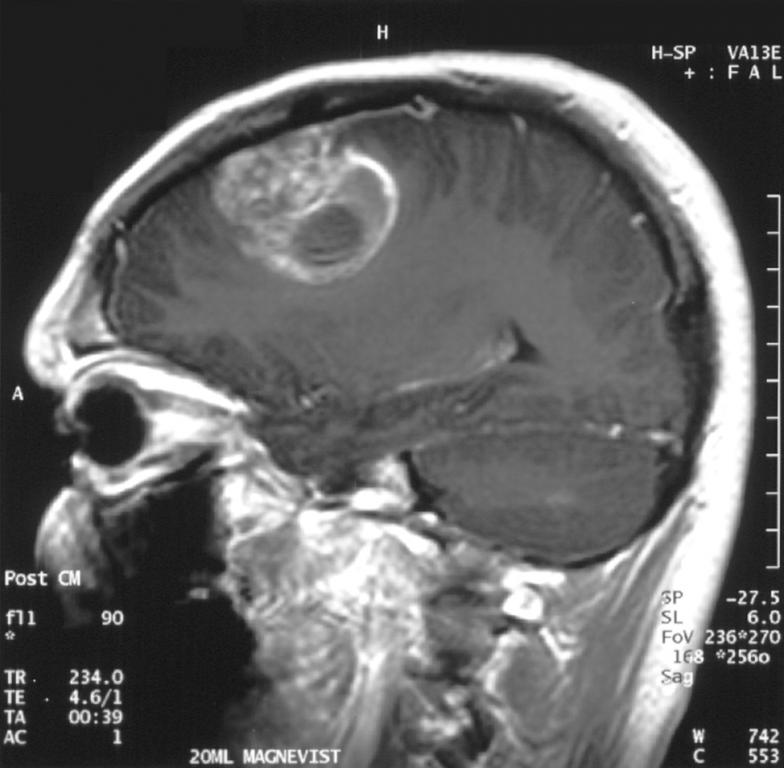
Болезнь нужно предотвращать, а не лечить — это девиз современной диагностической медицины и в частности «Клиники № 1». Медицинский центр специализируется на МРТ (магнитно-резонансная томография). Это точный метод, который исключает субъективное мнение врача. Как уверяют специалисты «Клиники № 1», МРТ — это один из самых безопасных, но максимально информативных методов диагностики состояния внутренних органов.
Томографию можно проходить столько раз, сколько нужно, поскольку нет рентгеновского облучения. Ничего ещё медицина не придумала лучше МРТ для диагностики работы головного или спинного мозга. Боитесь инсульта, есть предрасположенность к онкозаболеваниям — проверьте себя сейчас, чтобы была возможность предотвратить серьёзное заболевание. Поверьте, что диагностика менее затратна по деньгам и времени, чем продолжительное мучительное лечение.
В «Клинике № 1» отличный МРТ-аппарат, мощностью 1.5 Тесла. Врачи клиники проводят более 80 видов обследований: головного мозга и сосудов, всех отделов позвоночника, суставов и мягких тканей, молочных желез, внутренних органов и органов малого таза, программа онкопоиска. Описание проводится в режиме онлайн врачами г. Москвы с многолетним стажем и опытом работы на МРТ. Заключение выдается в течение 30 мин. после обследования. Девиз медицинского центра: «Точный диагноз — правильное лечение»!
Самые распространённые заболевания современного мира это миопия и пресбиопия. Одной из причин возникновения их стал образ жизни, который идёт вразрез с устройством нашего зрения. Наш глаз сформирован так, чтобы видеть вдаль, а глазам наших современников всё чаще и чаще приходится смотреть на расстоянии вытянутой руки – в смартфон или компьютер. С увеличением продолжительности жизни людей и увеличением нагрузки на глаза мы пришли к необходимости контролировать качество зрения, начиная с детства: следить за временем проведённым у компьютера и уровнем освещенности в классе или офисе, обязательно расслаблять зрение, предотвращая его снижение в течение рабочего дня.
Как советуют офтальмологи оптики «Взгляд», в борьбе за зрение каждого пациента должны участвовать очки-тренажёры, которые не являются лечебными, но стимулируют работу глазных мышц, а также они рекомендуют аппарат «Визотроник», который помогает в профилактике миопии и пресбиопии, снимает спазм аккомодации, хроническое зрительное переутомление, компьютерный зрительный синдром. Продолжительность курса лечения и интенсивность выбирает врач, исходя из особенностей зрения пациента. В конце курса пациенты оптики «Взгляд» получают бесплатную консультация врача-офтальмолога. Кстати, в области профилактики зрения создатели очков ушли далеко вперёд и предложили специальные очки для работы за компьютером. Монитор компьютера — это своеобразный источник света. Если очень долго смотреть на него (что мы ежедневно и делаем), то глаза быстро устают, так как раздражается зрительный нерв. При постоянных нагрузках снижается чёткость восприятия изображения, отключается периферийное зрение. Принцип действия таких очков заключается в наличии у линз специального покрытия, которое защищает глаза от воздействия вредных волн, излучаемых монитором. Защитные очки помогут значительно снизить степень напряжения глаз, а значит, сохранить зрение.
Ни для кого не секрет, что в деле сохранения зрения есть несколько правил:
- Если у вас уже снижено зрение, то не ждите, что оно само исправится – носите очки.
- Защищать глаза от вредного воздействия ультрафиолета нужно солнцезащитными очками в любое время года.
- Проверять остроту зрения нужно раз в полгода.
Что ещё стоит делать ежегодно, контролируя здоровье, так это посещать стоматолога. Отсутствие определённых минералов в воде не даёт шанса жителям Марий Эл блистать белозубой улыбкой без усилий врачей.
Что советуют специалисты-стоматологи, так для начала прийти в клинику, например в стоматологический центр «Жемчужина» для осмотра и создания плана борьбы с кариесом и возрастными изменениями, которые доставляют неудобства. Консультация стоматолога в центре бесплатна. Бояться врачей нынче не нужно, все процедуры практически безболезненны. Врачи клиники не просто высокой квалификации, но и имеют значительный опыт и владеют новыми технологиями.
Предупреждение развития стоматологических заболеваний делится на несколько частей:
- Ежегодная санация, проверка состояния зубов, что препятствует переходу заболеваний в хроническую стадию и значительно экономит затраты на лечение.
- Проведение гиены полости рта на профессиональном уровне (т.е. чистки зубов от пигментированного налета, камней на приеме у стоматолога с применением специальных аппаратов и средств);
- Обучение правильной чистке зубов. Далеко не все пациенты знают, как правильно держать щетку по отношению к зубным рядам, какие движения необходимо совершать при чистке. Этим навыкам вас также научит врач — стоматолог на специальном обучающем приеме. А на последующем приеме проводится контролируемая чистка зубов;
- Составление программы рационального питания, которое будет включать продукты, влияющие на минерализацию тканей зубов и полезные для всего организма в целом. В том числе дополнительное применение препаратов, восстанавливающих структуру зубов (к таким препаратам относят препараты кальция, фтора).
Стоматология «Жемчужина» — это не только эффективная помощь и обширный комплекс предлагаемых услуг, но и высококвалифицированное обслуживание, отличающееся разумными ценами.
Профилактика заболеваний становится неотъемлемой частью жизни современного общества. Если ещё несколько лет назад мы смотрели западные фильмы, где главному герою приходил факс с напоминанием о времени диагностики, то теперь мы сами стали главным героем своего блокбастера. Хочется в 40 лет с лёгкостью подниматься на 5-ый этаж, в 50 выбирать стейк нужной прожарки, не думая, о возможности его прожевать, в 60 лет заниматься йогой и танцевать танго.
ИА «МариМедиа». При использовании материала гиперссылка обязательна.
